网站首页 健康正文

头晕、乏力竟是心梗“信号”!医生:7个非典型症状,警惕心脏问题

心梗
健康“头号杀手”
压榨感、窒息感的胸痛
恶心、呕吐、气短、呼吸困难等
是心梗发作的典型症状
但你知道吗
还有一些
非典型的先兆症状
会在心梗发作前
数小时甚至数天出现
但这些症状很容易被忽视
尤其是中老年人
最近,在 西安中医脑病医院内一科,一位在院高龄患者就经历了惊险的一遭。起初,家属向医生反映,自己的母亲最近一段时间总感到头晕,血压也有些低,感觉很乏力。
医生梁世雄前往查看,发现心电监护显示心电波形异常,于是立刻安排了心电图,最终确定老人是心梗发作。
梁世雄表示, 头晕、乏力等这些看似普通的症状,都是心梗发作前的非典型症状,极易被忽视。心梗一旦发作,时间就是生命。
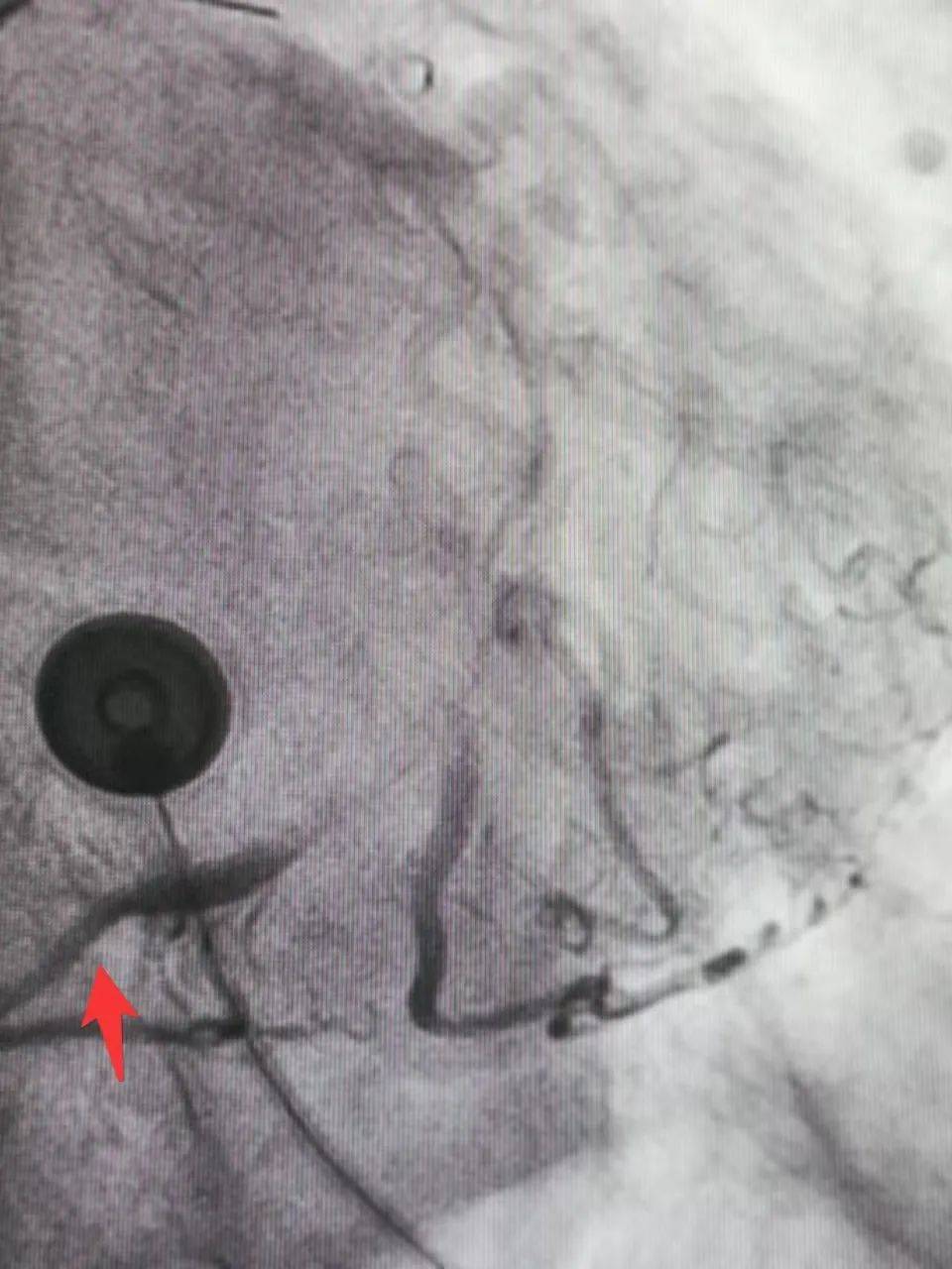
经家属同意,立即启动绿色通道,进行手术。最终,经过经皮冠状动脉介入微创手术(PCI), 畅通堵塞的血管,让血液流通至缺血的心肌。
术后,老人头晕症状缓解,生命体征平稳,继续接受进一步治疗。
▲治疗前,血管闭塞
▲治疗后,血管畅通
西安中医脑病医院
内一科提醒
心梗的七个非典型征兆
要注意
1.头晕
高危人群经常头晕
或长期头晕
要小心是心梗的征兆
2.突然变懒、乏力
该症状在高龄老人当中比较常见
没有其他不适,唯一的感觉就是
乏力,嗜睡,不想动,犯懒
这时候要高度警惕心肌缺血问题
3.颈部、嗓子难受
患者可能出现嗓子或颈部的
不适、堵塞感
常伴有大汗症状
4.上肢和左肩痛
心脏缺血导致的疼痛
也可能放射到左肩、左臂内侧
小指及无名指
5.持续后背痛
部分心梗患者会出现持续后背疼痛
女性相比男性更多见
6.持续上腹痛
心梗发作前数天
上腹部或肚脐周围可能出现
压迫感、灼烧感等不适症状
7.牙痛或下颌痛
少数情况下心梗也可表现为
牙痛或下颌疼痛
但又说不出具体哪颗牙疼
并多伴有大汗
心梗不再是老年人的“专利”
1.“三高人群”
运动少、暴饮暴食、吃得太油腻,是现代人的通病,从而造成高血压、高血脂、糖尿病、肥胖等人群的增多,而这些疾病恰恰又是心梗的加速器。
2.吸烟人群
吸烟会使血管变硬,心梗正是由于长期吸烟造成了动脉的硬化,导致血管闭塞,临床有很多案例显示,一些心梗的患者正是在吸烟时发作的。
3.经常加班的人群
在中青年人群中,心梗高发于一些脑力劳动者。有的人工作起来几天都不好好休息一下,这种没有规律、过于劳累的生活,非常容易导致冠状动脉痉挛,从而诱发心梗。
4.压力过大的人群
生活节奏快,工作压力大,堆积在一起,往往会使人感到精神紧张,这个时候,身体会分泌大量肾上腺素,导致血管收缩,心跳加快,引起心梗的发作。
一旦发生心梗,该怎么办?
1.如果是身边的人心梗发作,应立即呼救并拨打120,可以在急救医生的电话指导下对患者实施紧急救治。如果是自己发病,独自在家,同上述立即拨打120,可以先开好门,以便医护人员进屋救治。
2.不要过于惊慌,应尽量镇静下来,惊慌反而会使症状变得更严重。解开衣领,平躺或坐下休息,减少活动。如果是身边的人发生心梗,可千万别乱搬动患者。
3.若出现呼吸困难,此时应缓慢做深呼吸,如果口中有异物或者假牙,应取出,保持呼吸道通畅。
4.心梗发作,服用硝酸甘油要慎重,如果血压偏低,或脉搏跳动微弱、头晕、大汗等,不建议盲目服用硝酸甘油。
心梗是十分凶险的疾病,绝不是家庭中哪些药物能够随便应对的。
最后再次提醒
高危人群,出现非典型征兆
一定要提高警惕,及早就医检查
采取措施,避免病情发展
第一时间看健康资讯
(文章部分内容整合自网络,联系侵删)

发表评论: