你能记住多少张脸?
研究发现,人类平均能记住约 5000 张面孔(波动范围约为1000~10000),这一能力在自然界中无可比拟。
而大多数动物识别同类主要依赖气味或声音,而不是脸。一些高度社会化的家畜,比如绵羊,在经过特殊训练后能记住大约 50 张羊脸,仅有人类的百分之一。
除了人类以外的其他灵长类,识脸能力在动物界也属于佼佼者,但数量多在数十到上百张之间,目前仍缺乏确切的上限数据。
为什么人类拥有如此出众的“认脸”能力呢?
人类拥有与生俱来的“认脸系统”
这是因为人脑中存在一套专门“认脸”的系统。
二十多年前,麻省理工学院的神经科学家 Nancy Kanwisher 发现,大脑颞叶中的梭状回面孔区(fusiform face area,FFA) 对人脸的反应远强于其他物体,是识别面孔的核心区域。
那么,这个脑区对人脸的反应是经过后天训练发展而来的,还是大脑中先天固有的结构?
为了回答这个问题,Kanwisher 让先天失明的受试者在 fMRI 扫描中触摸 3D 打印的人脸模型,并与触摸椅子、手或迷宫等物体的反应进行比较。结果发现,先天失明者的大脑 FFA 依旧会对“人脸”表现出特定的激活。
这就说明 FFA 对面孔的识别并不完全依赖学习,而是大脑与生俱来的能力!更有意思的是,FFA 并不是大脑中唯一用来“认脸”的脑区。研究陆续发现,人脑对面孔的识别其实需要一整套系统的协同参与。
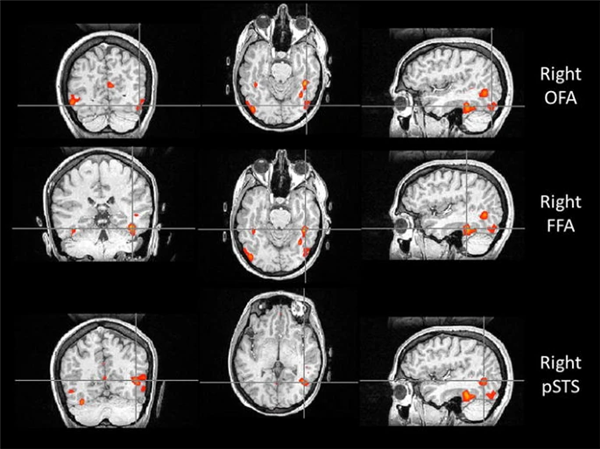
比如,位于枕叶的枕叶面孔区(Occipital Face Area, OFA),就像识脸网络的“先锋部队”。它专门处理眼睛、鼻子和嘴巴等五官“零部件”。当一张脸出现在我们眼前时,OFA 只需 约 100 毫秒 就能被激活,迅速对局部特征进行拆解,并将信息传递给 FFA 和上颞沟(Superior Temporal Sulcus, STS)。所以如果 OFA 出现问题,识别人脸就会变的很困难。
如果说 OFA 的作用是拆解五官,那么 STS 则更像是一个“动态解码器”。它对静态的面孔特征兴趣不大,却对动态特征极为敏感,尤其擅长捕捉 一颦一笑、眼神转动、嘴唇开合等细微变化。
正因为有 STS 的参与,我们不仅能认出“这是谁”,还能理解“他在表达什么情绪”“注意力投向哪里”,甚至在一定程度上推测对方的意图。STS 的参与也解释了为什么比起静态照片,在现实生活或视频中,我们更容易认出熟人。
与认脸有关的三个核心脑区,自上而下依次为:OFA(枕叶面孔区)、FFA(梭状回面孔区),以及 STS(上颞沟)。图片来源:doi: 10.1007/s00221-011-2579-1

一个人能记住多少个人的脸 这个数字赌你猜不到
除了以上三个脑区,杏仁核(amygdala)也深度参与到面孔识别中,扮演”情绪雷达“的作用,可以精准的识别出脸上的“愤怒”“厌恶”“喜悦”等显著情绪。
最后,所有信息会在前额叶皮层(Prefrontal Cortex, PFC)汇总,为这张脸附加上”身份标签与社会评价,比如是否值得合作,是否具有吸引力等。
人类拥有丰富的“捏脸”基因
人类之所以能“看脸识人”,不仅依赖于大脑中专门的识别系统,还因为我们本身就拥有极其丰富的面孔特征,这是经历了多年演化历程,刻在基因里的礼物。
从鼻梁的高低、颧骨的宽窄,到眼裂的形态、肤色的差异、下颌的轮廓,这些特征都由基因调控。不同基因的组合方式,像是为每个人生成了一串独特的密码,使得每一张脸都带有无法复制的“个体标识”。也正因如此,人脸成为了区分彼此最直观、最可靠的 ID。
就拿五官中最不起眼的耳朵来说,老一辈称之有福相的大耳垂(Lobe size, 耳垂大小)由 3、6 和 10 号染色体上三个不同的基因位点(rs10212119,rs1990618 和 rs12538515)共同决定,年轻人中流行的精灵耳(Ear protrusion,耳廓外翻),则与 2 号染色体上的 rs3827760 位点的基因突变密切相关。
耳朵外形特征(如耳垂大小、耳垂连接方式、耳朵突出、耳轮卷曲等)由多个基因决定。图片来源: doi.org/10.1038/ncomms8500

一个人能记住多少个人的脸 这个数字赌你猜不到
不仅是五官的细节特征,面部的立体感和五官的整体比例,其实也早已写在基因里。2019 年的一项研究通过对上万名欧洲人的 78 个面部特征进行分析,从中提炼出 13 个关键点,并最终锁定了 24 个相关基因。
其中,例如 PAX3 基因,会在胚胎发育阶段通过调控神经嵴细胞的生长与分化,进而决定两眼间距、鼻梁高度,以及整个中面部的结构。

一个人能记住多少个人的脸 这个数字赌你猜不到
多个基因通过调控神经嵴细胞的生长和分化共同决定了面部的13个特征。图片来源:doi.org/10.7554/eLife.49898
从小 baby 时期开始人类就沉迷看脸
人类不仅拥有高级的“认脸系统”和丰富的“捏脸”基因,还从婴儿时期就对“人脸”更感兴趣。
科学家们曾在婴儿出生后数小时,就让他们观看不同的图案。其中一种是“类似人脸”的配置(两点在上,一条横线在下,类似眼睛+嘴),另一种是同样元素但随机排列的图形。
结果发现,新生儿会更长时间注视“类似人脸”的图案,说明他们天生就对面孔结构更感兴趣。

一个人能记住多少个人的脸 这个数字赌你猜不到
给婴儿看类似于人脸的图案和随机图案。

一个人能记住多少个人的脸 这个数字赌你猜不到
不仅如此,2017 年的一个实验中,科学家利用光源投射出三个点,通过母体腹壁照到子宫内。点的排列有两种:正立的人脸样配置(两个在上,一个在下)和倒置配置(两个在下,一个在上)。通过超声扫描观察胎儿的姿势发现,胎儿的头部会更频繁地转向正立的脸样配置,说明对面孔的偏好在出生前就已显现。

一个人能记住多少个人的脸 这个数字赌你猜不到
AC是光源投射出的三点,BD是基于公式算出的胎儿在母亲肚子里看见的图形。图片来源:doi: 10.1016/j.cub.2017.06.036. 婴儿对人脸的天生偏爱或许是因为他们需要通过“看脸”的视觉刺激来锻炼认脸的能力。
研究表明,如果婴儿在早期严重缺乏面孔刺激(例如因先天性白内障而长期看不见,直到手术后才恢复视觉),即便视觉功能后来恢复正常,他们在识别人脸方面的能力也会明显受限。这说明人脑中的认脸系统并不是单纯的“预设程序”,而能在后天的学习中训练优化。正是这种复杂而微妙的机制,让“看脸识人”成为人类独特的天赋。所以,下次在茫茫人海中与好朋友目光锁定时,不妨想起,这份认出彼此的能力,是属于人类的浪漫奇迹。
发表评论: